Case Studies

 

Calcified Artery Closure in Peripheral Cases.

 

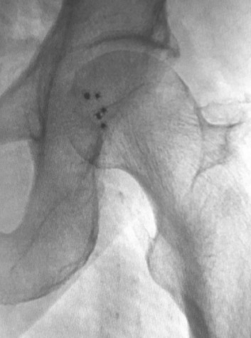
Two previously deployed Celt ACDs (indicated by arrows above) in a vessel with an inflated Scoring Balloon for angioplasty of femoral stent.

 

Ante-grade puncture in calcified vessel previously closed by Celt ACDs following multiple procedures.

 

 

Celt ACD® allows multiple immediate re-sticks in calcified arteries.

 

6 Celt ACDs

 

5 Celt ACDs


 

Celt ACD® is located in the arterial wall not in the circulation.

 

Puncture sites closed by Celt ACD® are completely healed at five weeks or less and covered by endothelium.

 

Celt ACD® (indicated by the green circle above) is in the arterial wall and not in the circulation as seen on ultrasound of bifurcation of femoral artery.